Techniques for evaluating particles in CMP slurries
A variety of slurries are used in the chemical mechanical polishing (CMP) process. The concentration of bulk particles in these slurries can be >1015 particles/ml. Slurries also contain a relatively small number (104 – 106 particles/ml for silica, >109 particles/ml for alumina) of particles >1.0 µm which could potentially cause microscratches on the planarized wafer surface.
This article focuses on the techniques used to measure the concentration and evaluate the types of undesirable particles in slurry. These techniques can be applied to troubleshooting contamination issues and in evaluating the effectiveness of filtration.
Contents
Measurement of bulk particle size distribution
Detection of large particles
Visual observation of undesirable particles
Conclusion
References
Large particles, agglomerates, and dry flakes exist in CMP slurries for various reasons. These undesirable particles can cause microscratches on polished wafers during CMP processing.[1,2] Although most slurry suppliers have implemented filtration to reduce undesirable particles in manufacturing, these particles tend to slowly reform as a result of handling and unstable chemistry.
Some postulated sources for undesirable particles include: drying in containers and day tanks, pH shock during dilution, settling over time, temperature fluctuations during transport or storage, as well as shearing caused by excessive recirculation of concentrated slurry, flow through restrictions, etc.
A number of instruments can measure the distribution of bulk particles responsible for polishing. Other methods are required to evaluate the large particles (>1 µm) in the tail of the distribution.
Return to Table of Contents
Measurement of bulk particle size distribution
Techniques to measure bulk particle size distribution (PSD) include: light scattering, electroacoustic, capillary hydrodynamic fractionation (CHDF), etc. [3] Concentrated slurry can be analyzed with electroacoustic methods.
All these methods provide the relative number of particles at a certain size with respect to the entire population. The small number of particles (104 – 106 particles/ml for silica, >109 particles/ml for alumina) in the tail of the distribution (>1 µm) are so few in comparison to the bulk of the distribution to be detected.

Return to Table of Contents
Detection of large particles
The PSS Accusizer and PMS LiquiLaz S05 are widely used for measuring large particle concentrations. Both counters can detect large particles in the presence of a large number of bulk slurry particles. Dilution minimizes the interference caused by the large number of particles in the bulk of the distribution. pH adjustment of the diluent reduces pH shock effects.
The PSS AccuSizer from Particle Sizing Systems (Santa Barbara, CA) detects larger slurry particles by light scattering and extinction. This instrument uses a dilution chamber on the top of the instrument; ideally only one particle passes through the illuminated cell at a time. A slurry particle passing through the cell blocks a portion of the light from reaching a detector on the opposite side of the cell. If more that one particle travels through the cell at the same time, the counter might treat them as a single larger particle. Dilution of the slurry is therefore a critical step. A built-in auto-dilution feature prevents multiple particles from being seen as one.
Particle Measuring System's (Boulder, CO) LiquiLaz-SO5 counter uses light scattering to measure particle counts (Figure 2). On-line dilution minimizes the interference caused by small particles in the slurries. Users must determine proper dilution factors to avoid overloading of the counter. Alumina slurry requires pre-dilution prior to on-line dilution. Alumina particles settle quickly; a high sampling flow rate is required to keep them suspended. To avoid overloading the counter at the high sampling flow rate, samples must be pre-diluted with pH adjusted water.

Return to Table of Contents
Visual observation of undesirable particles
Although particle counters measure the concentration of undesirable particles in slurry, they cannot differentiate between the different types of undesirable particles.

Undesirable particles in slurry include large particles, aggregates, agglomerates, and microgels.[3] Large particles are a single solid sphere or other geometry. Aggregates are multiple particles chemically attached to each other via siloxane bonds. Agglomerates form as a result of particles coming together into close-packed clumps as a result of entanglement and drying. All these undesirable particles can cause microscratches on polished wafers.
Microgels are also undesirable in slurry since they are responsible for plugging of filters. These microgels, which are aggregates linked together to form three-dimensional networks with water trapped within the network, form primarily due to pH shock, temperature fluctuations, and shearing.
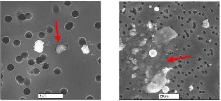
Although particle counters can not differentiate between the different types of undesirable particles, a visual method can be used. Use a vacuum flask and pump to filter the slurry through 3-µm Isopore membrane with appropriate pH-adjusted dilution. The dilution factor should be selected so that discrete large particles can be seen.

SEM or light microscope images can show the particles captured on the membrane disk, allowing differentiation between large particles and agglomerates. Black circular holes in the images are 3-µm membrane pores.


SEM and light microscope images can also evaluate microgels that plug filters. Since microgels contain water trapped within the network, the membrane must be kept in a wet state and examined quickly.


Return to Table of Contents
Conclusion
Large particles and agglomerates are present in slurries and can result in microscratches on the wafer surface. Although it is unclear whether microgels in slurries can cause microscratches on wafers, they are responsible for plugging filters.
Appropriate particle counters that can measure the tail of the particle size distribution (>1 µm) can detect undesirable particles. Particle counters, however, cannot differentiate between the different types of undesirable particles. Visual methods can be used to evaluate the different types. A combination of particle counters and visual methods can help users investigate sources of contamination evaluate the benefits of filtration.
Return to Table of Contents
References
1. Derivendt, K., et al (IMEC) and Z. Lin, "CMP Defectivity and Slurry Filtration", Materials Research Society Meeting, San Francisco, CA, April, 1999
2. Nagahara, R., et al, The effect of slurry particle size on defect levels for a BPSG CMP process, Proceedings of the CMP Users Group, Vol. 1, No.1, July, 1996
3. Barth, H.G. and S.T. Sun, "Particle Size Analysis", Anal. Chem., 57, 151R-175R, 1985
4. Iler, R. K., The Chemistry of Silica, John Weily & Sons, New York, NY, 1979
Return to Table of Contents
For more information
Millipore Corporation, 80 Ashby Road, Bedford, MA 01730 USA. Tel: 800-MILLIPORE; Fax: 781-533-3110.